Services on Demand
article
Indicators
Share
Journal of Human Growth and Development
Print version ISSN 0104-1282On-line version ISSN 2175-3598
J. Hum. Growth Dev. vol.34 no.3 Santo André 2024 Epub Apr 11, 2025
https://doi.org/10.36311/jhgd.v34.16789
ARTIGO ORIGINAL
Elucidação diagnóstica entre glândula sudorípara primária ou metástase de câncer de mama: relato de caso de carcinoma mucinoso do couro cabeludo
aDisciplina de Cirurgia Plástica do Centro Universitário Saúde FMABC, Santo André, SP, Brasil
bPatologista do Laboratório de Anatomia Patológica - Laboratório Locus Oncoclínicas Precision Medicine - São Paulo, SP, Brasil
cServiço de Mastologia do Hospital Pérola Byington, São Paulo, SP, Brasil
dMastologista do Hospital Samaritano de São Paulo, São Paulo, SP, Brasil
eProfessor Associado A da Disciplina de Cirurgia Plástica do Centro Universitário Saúde FMABC. Santo André, SP, Brasil
Por que este estudo foi feito?
Este estudo foi feito para demonstrar o processo para se chegar ao diagnóstico diferencial entre carcinoma mucinoso primário de glândula sudorípara e uma possível metástase cutânea de um carcinoma mucinoso mamário.
O que os pesquisadores fizeram e encontraram?
Os autores encontraram semelhanças entre resultados do exame anatomopatológico e dos resultados do estudo imuno-histoquímico tanto para tumor primário da glândula sudorípara quanto para o tumor primário da mama, o que dificulta o diagnóstico diferencial entre eles.
O que essas descobertas significam?
Somente os recursos do patologista não são suficientes para chegarmos a um diagnóstico diferencial entre o carcinoma mucinoso primário da pele e a metástase cutânea de um carcinoma mucinoso primário da mama, sendo necessária uma correlação extensa com dados clínicos e exames de imagem para melhor conclusão diagnóstica quanto ao sítio primário da neoplasia.
Palavras-chave: adenocarcinoma mucinoso; adenocarcinoma de glândula sudorípara apócrina; metástase cutânea de câncer de mama
Introdução:
neoplasias malignas primárias das glândulas apócrinas são raras, constituindo menos de um por cento de todas as lesões de pele primária malignas. O carcinoma apócrino cutâneo apresenta características semelhantes às das metástases cutâneas por carcinoma de mama, o que torna sua diferenciação diagnóstica muito difícil.
Objetivo:
o objetivo deste relato de caso foi demonstrar esta dificuldade em se diferenciar o diagnóstico entre o tumor citado ser primário da glândula sudorípara ou de se tratar de metástase de carcinoma de mama.
Método:
trata-se de estudo descritivo, retrospectivo, com abordagem qualitativa, na modalidade de relato de caso clínico, realizado a partir dos registros disponibilizados em prontuário médico da paciente. Foram coletados dados referentes à história pregressa, história atual, hipóteses diagnósticas, tratamentos realizados, e exames complementares realizados.
Resultado:
os autores descrevem o caso de uma paciente de 86 anos que teve diagnóstico de carcinoma mucinoso em lesão recidivada em couro cabeludo e descrevem as dificuldades encontradas e os recursos utilizados para elucidação diagnóstica entre este ser um tumor primário anexial de glândula sudorípara da pele ou ser neoplasia metastática da mama.
Conclusão:
somente os recursos do patologista não são suficientes para se chegar a um diagnóstico diferencial entre o carcinoma mucinoso primário da pele e a metástase cutânea de um carcinoma mucinoso primário da mama, sendo necessária uma correlação extensa com dados clínicos e exames de imagem para melhor conclusão diagnóstica quanto ao sítio primário da neoplasia.
Palavras-chave: adenocarcinoma mucinoso; adenocarcinoma de glândula sudorípara apócrina; metástase cutânea de câncer de mama
A relevância em se discutir os diagnósticos diferenciais de uma doença rara, com a revisão dos critérios diagnósticos e assim conduzir a investigação sistêmica de maneira a chegar ao diagnóstico correto e, consequentemente, ao melhor desfecho para a paciente.
Palavras-chave: adenocarcinoma mucinoso; adenocarcinoma de glândula sudorípara apócrina; metástase cutânea de câncer de mama
Why was this study done?
This study was performed to demonstrate the process for reaching the differential diagnosis between primary mucinous carcinoma of the sweat gland and a possible cutaneous metastasis of a mammary mucinous carcinoma.
What did the researchers do and find?
The authors found similarities between the results of the anatomopathological examination and the results of the immunohistochemical study for both primary sweat gland tumor and primary breast tumor, which makes differential diagnosis between them difficult.
What do these findings mean?
The pathologist’s resources alone are not sufficient to reach a differential diagnosis between primary mucinous carcinoma of the skin and cutaneous metastasis of a primary mucinous carcinoma of the breast. An extensive correlation with clinical data and imaging exams is necessary for a better diagnostic conclusion regarding the primary site of the neoplasia.
Keywords mucinous adenocarcinoma; apocrine sweat gland adenocarcinoma; cutaneous metastasis of breast cancer
Introduction:
primary malignant neoplasms of the apocrine glands are rare, accounting for less than one percent of all primary malignant skin lesions. Cutaneous apocrine carcinoma presents characteristics similar to those of cutaneous metastases from breast carcinoma, which makes its diagnostic differentiation very difficult.
Objective:
the objective of this case report was to demonstrate the difficulty in differentiating the diagnosis between the tumor mentioned being primary to the sweat gland or being a metastasis of breast carcinoma.
Methods:
this is a descriptive, retrospective study with a qualitative approach, in the form of a clinical case report, carried out based on the records available in the patient’s medical records. Data were collected regarding the patient’s previous history, current history, diagnostic hypotheses, treatments performed, and complementary exams performed.
Result:
the authors describe the case of an 86-year-old patient who was diagnosed with mucinous carcinoma in a recurrent lesion on the scalp and describe the difficulties encountered and the resources used to elucidate the diagnosis between whether this was a primary adnexal tumor of the sweat gland of the skin or metastatic neoplasia of the breast.
Conclusion:
the pathologist’s resources alone are not sufficient to reach a differential diagnosis between primary mucinous carcinoma of the skin and cutaneous metastasis of a primary mucinous carcinoma of the breast, requiring an extensive correlation with clinical data and imaging exams for a better diagnostic conclusion regarding the primary site of the neoplasia.
Keywords mucinous adenocarcinoma; apocrine sweat gland adenocarcinoma; cutaneous metastasis of breast cancer
The relevance of discussing the differential diagnoses of a rare disease, with the review of the diagnostic criteria and thus conducting the systemic investigation in order to reach the correct diagnosis and, consequently, the best outcome for the patient.
Keywords mucinous adenocarcinoma; apocrine sweat gland adenocarcinoma; cutaneous metastasis of breast cancer
INTRODUÇÃO
O presente estudo de relato de caso refere-se a uma paciente mulher e idosa que apresentou um tumor em couro cabeludo que foi biopsiado e apresentou diagnóstico de adenocarcinoma mucinoso bem diferenciado com margens coincidentes. Em nota o patologista recomendava que fosse realizado estudo imuno-histoquímico para distinguir entre carcinoma mucinoso de glândulas sudoríparas primário da pele e neoplasia metastática da mama.
Neoplasias malignas primárias das glândulas apócrinas são raras, constituindo menos de um por cento de todas as lesões de pele malignas primárias1. O carcinoma apócrino cutâneo apresenta características semelhantes às das metástases cutâneas por carcinoma de mama. Trata-se de caso raro2 e de grande dificuldade em se diferenciar um do outro, seja pela história clínica, como pelos recursos de anatomia patológica e até mesmo pelo estudo imunohistoquímico.
O objetivo deste relato de caso foi demonstrar esta dificuldade e a importância em se diferenciar o diagnóstico entre o tumor citado ser primário da glândula sudorípara ou de se tratar de metástase de carcinoma de mama.
MÉTODO
Trata-se de estudo descritivo, retrospectivo, com abordagem qualitativa, na modalidade de relato de caso clínico, realizado a partir dos registros disponibilizados em prontuário médico da paciente. Foram coletados dados referentes à história pregressa, história atual, hipóteses diagnósticas, tratamentos realizados, e exames complementares realizados. A paciente assinou o termo de consentimento livre e esclarecido.
CASO CLÍNICO
Informações e achados clínicos sobre a paciente em relato
Paciente D.G., do sexo feminino, 86 anos de idade, branca, viúva, moradora na cidade de São Paulo, no estado brasileiro de São Paulo.
Refere que procurou pelo cirurgião apresentando lesão tumoral em região occipital à direita de couro cabeludo, com aproximadamente 1cm de diâmetro e com margens mal definidas (figura 1). História de cirurgia prévia para a retirada de um tumor desta região dois anos antes. Consta em seu prontuário o laudo da anatomia patológica desta intervenção prévia que mostrava o diagnóstico de adenocarcinoma mucinoso bem diferenciado com margens coincidentes. Em nota o patologista recomendava que fosse realizado estudo imuno-histoquímico para distinguir entre carcinoma mucinoso de glândulas sudoríparas primário da pele e neoplasia metastática, porém não há registros que isto tenha sido realizado na época.
Agora, na presença da recidiva da lesão, foi solicitado exame de ultrassonografia de cabeça e pescoço para estadiamento que não mostrou nenhuma alteração. Após este estadiamento a paciente foi operada em ambiente hospitalar para a retirada da lesão com margens (figura 2) e com a realização de exame de anatomia patológica per-operatória (exame de congelação) para avaliação das margens cirúrgicas.
No novo exame de anatomia patológica realizado descreveu ter recebido lesão de couro cabeludo occipital à direita que consiste de estrutura elíptica de pele, parcialmente seccionada, medindo 4,0x1,9cm e 0,9cm de espessura máxima. Apresentava, na superfície cutânea, lesão discretamente deprimida e esbranquiçada, medindo 2,4x1,5cm. Aos cortes, o tecido é firme-elástico e acinzentado, evidenciando área nodular pardo-avermelhada e macia medindo 0,9x0,7x0,6cm. A lesão dista 0,2cm da margem cirúrgica profunda (figura 3). Na macroscopia as margens foram previamente tingidas e identificadas: superior (violeta); inferior (azul); medial (verde); lateral (laranja); profunda (vermelho). Especificação dos cassetes: A1 ao A6- lesão/margens medial/lateral/profunda: 1bl; A7- margens superior/inferior: 1bl. Enviado para exame microscópico todo o material.

Fonte: própria.
Figura 3 Cortes sequenciais da peça cirúrgica evidenciando lesão nodular medindo 0,9cm em seu maior eixo, centrada em derme e tecido adiposo subcutâneo
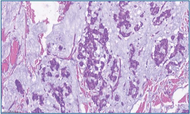
À microscopia, a neoplasia apresentava células atípicas arranjadas em grupos coesos sólidos ou tubulares, imersos em abundante mucina extracelular, a qual compunha mais de 90% da lesão (figura 4). Os núcleos demonstravam atipia moderada, por vezes com nucléolos proeminentes e eventuais figuras de mitose. O padrão de crescimento da lesão era predominantemente expansivo, atingindo até o tecido adiposo subcutâneo (nível V de Clark)3 (figura 5). Não foram identificadas áreas de neoplasia “in situ”, invasão linfovascular ou perineural. As margens cirúrgicas estavam livres.

Fonte: própria.
Figura 4 Células neoplásicas atípicas em agrupamentos coesos sólidos em meio a abundante mucina extracelular

Fonte: própria.
Figura 5 imagem panorâmica evidenciando comprometimento neoplásico da derme e tecido adiposo subcutâneo (nível V de Clark)
O estudo imuno-histoquimico foi realizado através de metodologia automatizada em Autostainer Link 48 com recuperação antigênica pelo calor úmido (PT Link-Dako) e visualização através do sistema EnVision FLEX, além de metodologia automatizada Ventana BenchMark GX (Roche). Controles positivos (internos e/ou externos) confirmam a fidelidade do método. O exame microscópico revelou os seguintes resultados dos antígenos pesquisados: Citoqueratina 7 (CK7) (OV-TL 12/30) Positivo em áreas; GATA3 (L50-823) Positivo; Proteína receptora de estrógeno (EP1) Positivo (intenso) em 90% das células neoplásicas; Proteína receptora de progesterona (PgR 636) Positivo (intenso) em 70% das células neoplásicas; p63 (DAK-p63) Positivo em focos; Citoqueratina 20 (CK20) (K20.8) Negativo; Mamoglobina (304-1A5) Negativo; CDX2 (DAK-CDX2) Negativo; PAX8 (MRQ-50) Negativo; Napsina A (MRQ-60) Negativo; TTF1 (8G7G3/1) Negativo; D2-40 (podoplanina) (D2-40) Negativo. Concluindo assim que este tipo de neoplasia exibia perfil imuno-histoquímico superponível entre a forma primária cutânea e a apresentação metastática de lesão primária em mama. Recomendou ser necessário correlação com os dados clínicos, exames de imagem e histórico cirúrgico na tentativa de se definir o sítio primário desta neoplasia.
Esta paciente não tinha diagnóstico prévio de carcinoma em mamas e perante esta hipótese diagnóstica de metástase de carcinoma de origem mamária, foi encaminhada para o serviço de mastologia, onde realizou consulta e exames para rastreamento de carcinoma mamário. Perante este quadro, com Imuno-histoquimica compatível com carcinoma mucinoso, com GATA 3 POSITIVO, RE 90%, RP70% e P63 POSITIVO EM FOCOS, a mastologista realizou investigação de mamas e trato genital inferior para descartar ser uma lesão secundária. Ao exame físico a paciente não apresentou nódulos palpáveis, suas axilas não apresentavam linfonodos aumentados de volume e o exame ginecológico sem alterações evidentes.
Foi realizado rastreamento de imagens com mamografia categoria BIRADS 2, estável desde seus exames anteriores realizados desde cinco anos antes. Também foi realizada ultrassonografia de mamas, com categoria BIRADS 2 e ultrassonografia transvaginal que mostrou útero caracterizado apenas em porção de colo cervical, medindo aproximadamente 44x35x24mm, ovário esquerdo com formação nodular solida de 12,8mm, ovário esquerdo medindo: 30x27x22mm; volume: 9,7cm³ e ovário direito não caracterizado no presente estudo. Devido à lesão nodular descrita em ovário esquerdo, o estudo foi complementado através de ressonância magnética que mostrou ovário esquerdo com dimensões pouco aumentadas às custas de um nódulo sólido de limites parcialmente definidos, com discreto baixo sinal em T2, hipovascularizado e com difusão restrita, medindo 2,3x1,5x1,3cm, de natureza indeterminada. Os resultados dos marcadores tumorais foram os seguintes: Antígeno carcinoembrionario (CA125) igual à 18 U/mL; Antígeno carcinoembriônico (CEA) igual à 4,1ng/ml; Antígeno de Câncer 15-3 (CA15-3) igual à 32,6U/ml; e o marcador tumoral CA19-9 (CA 19-9) foi igual à 14U/ ml. Para completar foi realizado exame de Papanicolau que mostrou resultado classe II. Foi realizado contato com o seu ginecologista e este informou que a lesão nodular em anexo esquerdo já existia há 12 anos e que permanecia estável aos controles realizados desde então.
DISCUSSÃO
O carcinoma mucinoso primário da pele é uma neoplasia anexial originada das glândulas sudoríparas. Devido à sua raridade e à escassez de estudos sobre o tema, há ainda controvérsias quanto à sua origem e fisiopatologia. Embora seja considerado de linhagem écrina, aproximadamente 50% dos casos apresentam diferenciação apócrina ao serem analisados por microscopia eletrônica4. Acredita-se que o carcinoma mucinoso primário da pele se desenvolva a partir de uma neoplasia “in situ”, a qual pode ser identificada em até 70% dos casos5,6.
A apresentação morfológica dessa neoplasia é definida pela presença de células neoplásicas epiteliais em meio a uma quantidade significativa de mucina extracelular. Classicamente pode ser classificado como puro, quando composto por mais de 90% de componente mucinoso, ou como misto, quando há componente ductal associado. As células neoplásicas geralmente apresentam uma atipia leve a moderada, com poucas figuras de mitose. Em alguns casos, é possível identificar um componente de carcinoma “in situ” nos CMPP, no qual observam-se células neoplásicas intraductais com preservação da camada mioepitelial4,7.
Em estudos de imuno-histoquímica, observa-se que os CMPP são tipicamente positivos para CK7, citoqueratinas de baixo peso molecular, EMA, CEA, GATA3, proteína receptora de Estrógeno e proteína receptora de Progesterona (X,Z¹’³). Além disso, costumam ser negativos para CK20 e CDX2. A oncoproteína HER2 é negativa ou, em raras ocasiões, positiva de forma fraca (1+). O uso de marcadores mioepiteliais, como p63, calponina e citoqueratinas de alto peso molecular, podem auxiliar na identificação de componente “in situ” da neoplasia4,5,8.
Do ponto de vista do patologista, os achados morfológicos e imuno-histoquímicos do CMPP são superponíveis aos observados nos carcinomas mucinosos primários da mama e na disseminação metastática desses para a pele. Nesta situação, a identificação de componente “in situ” pode ser de grande auxílio na definição diagnóstica, pois comprova sua origem cutânea. No entanto, a ausência de neoplasia “in situ” não exclui o diagnóstico de CMPP e, nesses casos, sendo essencial realizar extensa correlação com dados clínicos, exames de imagem e investigar a mama para determinar o sítio primário da lesão. Neste contexto, a inexistência de carcinoma “in situ” do presente caso pode ser atribuída ao fato de a lesão em questão ser uma recidiva do tumor previamente submetido a intervenção cirúrgica. Além disso, a negatividade dos CMPP para CK20 e CDX2, em contraste com sua positividade nos carcinomas mucinosos do intestino metastáticos para pele, é um aspecto crucial para a exclusão desse diagnóstico diferencial4,5,6.
Assim, para diferenciá-los são importantes a anamnese, os dados clínicos da paciente e os exames de imagem, especialmente se a paciente tem história prévia de carcinoma mamário ou confirmação de lesão primária em mama9,10.
CONCLUSÃO
O carcinoma mucinoso primário da pele é uma neoplasia anexial originada das glândulas sudoríparas, ainda controversa em sua origem e fisiopatologia devido à raridade e escassez de estudos. Sua apresentação morfológica é caracterizada pela presença de células epiteliais neoplásicas em meio a mucina extracelular, podendo ser classificado como puro ou misto. Estudos imuno-histoquímicos revelam positividade para CK7, EMA, CEA, entre outros, e negatividade para CK20 e CDX2. A identificação de um componente “in situ” pode ser crucial na diferenciação diagnóstica, pois sugere neoplasia primária cutânea. Porém, a ausência desse componente não exclui o diagnóstico, sendo necessária uma correlação extensa com dados clínicos e exames de imagem para melhor conclusão diagnóstica quanto ao sítio primário da neoplasia, especialmente com ênfase no diferencial com carcinomas mucinosos primários da mama e à sua disseminação metastática para a pele.
REFERENCES
1 Abenoza P, Ackerman AB. Neoplasms with eccrine differentiation – Ackerman’s histologic diagnosis of neoplastic skin diseases: a method by pattern analysis. Philadelphia, PA: Lea & Febiger, 1989. [ Links ]
2 Vasilakaki T, Skafida E, Moustou E, Grammatoglou X, Arkoumani E, Koulia K, et al. Primary cutaneous apocrine carcinoma of sweat glands: a rare case report. Case Rep Oncol [Internet]. 2011 Sep;4(3):597– 601. Available from: https://pmc.ncbi.nlm.nih.gov/articles/PMC3268524/ doi:10.1159/000335244. [ Links ]
3 Clark WH Jr, From L, Bernardino EA, Mihm MC. The histogenesis and biologic behavior of primary human malignant melanomas of the skin. Cancer Res [Internet]. 1969 Mar;29(3):705–27. Available from: https://pubmed.ncbi.nlm.nih.gov/5773814/ PMID: 5773814. [ Links ]
4 Kazakov DV, Suster S, LeBoit PE, Calonje E, Bisceglia M, Kutzner H, et al. Mucinous carcinoma of the skin, primary, and secondary: a clinicopathologic study of 63 cases with emphasis on the morphologic spectrum of primary cutaneous forms: homologies with mucinous lesions in the breast. Am J Surg Pathol [Internet]. 2005 Jun;29(6):764–82. Available from: https://pubmed.ncbi.nlm.nih.gov/15897743/ doi: 10.1097/01.pas.0000159104.02985.6b. PMID: 15897743. [ Links ]
5 World Health Organization (WHO). WHO Classification of Tumours Editorial Board. Skin tumours. Lyon (France): International Agency for Research on Cancer; forthcoming. (WHO classification of tumours series, 5th ed.; vol. 12). Available from: https://publications.iarc.fr. [ Links ]
6 Qureshi HS, Salama ME, Chitale D, Bansal I, Ma CK, Raju U, et al. Primary cutaneous mucinous carcinoma: presence of myoepithelial cells as a clue to the cutaneous origin. Am J Dermatopathol [Internet]. 2004 Oct;26(5):353–8. Available from: https://pubmed.ncbi.nlm.nih.gov/15365364/ doi: 10.1097/00000372-200410000-00001. PMID: 15365364. [ Links ]
7 John R. Goldblum MD, FCAP, FASCP, FACG, Lamps LW, McKenney JK. Rosai J. Ackerman’s Surgical Pathology, 7th ed. St. Louis, MO: Mosby, 1989:1232–1233. [ Links ]
8 Pardal J, Sundram U, Selim MA, Hoang MP. GATA3 and MYB expression in cutaneous adnexal neoplasms. Am J Dermatopathol [Internet]. 2017 Apr;39(4):279–86. Available from: https://pubmed.ncbi.nlm.nih.gov/28323779/ doi: 10.1097/DAD.0000000000000634. PMID: 28323779. [ Links ]
9 Kim HK, Chung KI, Park BY, Bae TH, Kim WS, Lee TJ. Primary apocrine carcinoma of scalp: report of primary scalp cutaneous apocrine carcinoma indistinguishable from cutaneous metastasis of breast carcinoma. J Plast Reconstr Aesthet Surg [Internet]. 2012 Mar;65(3):e67–70. Available from: https://pubmed.ncbi.nlm.nih.gov/22122891/ [ Links ]
10 Martins MA, Aparecida Moreira C, Do Carmo Guedes Alcoforado Assunção Queiroz M, Henrique Martins W, Vilhena Pereira G, Carlos de Abreu L. Malignant adnexal cutaneous tumor of the scalp: a case report of difficult differential diagnosis between metastatic breast cancer and primary sweat gland tumor. J Hum Growth Dev [Internet]. 2021 Apr 28;31(1):177–83. Available from: http://pepsic.bvsalud.org/scielo.php?pid=S0104-12822021000100017&script=sci_arttext&tlng=en [ Links ]
Recebido: 01 de Setembro de 2024; Aceito: 01 de Outubro de 2024; Publicado: 01 de Novembro de 2024
this article is distributed under the terms of the Creative Commons Attribution 4.0 International License (https://creativecommons.org/licenses/by/4.0/), which permits unrestricted use, distribution, and reproduction in any medium, provided you give appropriate credit to the original author(s) and the source, provide a link to the Creative Commons license, and indicate if changes were made. The Creative Commons Public Domain Dedication waiver (https://creativecommons.org/publicdomain/zero/1.0/) applies to the data made available in this article, unless otherwise stated.










text in 



